HB Dental – Modern Orthodontics, Personal Care
Delivering healthy, confident smiles with over 25+ years of expertise.
Satisfaction Guarantee
Confident smiles, guaranteed. We’re here to exceed your expectations.
Digital Technology
Innovative tools that bring you the best in modern dental care.
Professional Orthodontist
With 25+ years of experience and a friendly approach, we’re focused on delivering the best care tailored to your needs.

About Us
HB Dental is the new face of Frederick Orthodontics same trusted team, same expertise, now with a fresh brand and modern look. With over 25 years of orthodontic experience, we continue to provide advanced treatments, personal care, and confident smiles for patients in Drogheda and surrounding areas.
From kids to adults, HB Dental provides expert orthodontic care including braces and aligners. Early treatment helps stop small issues from becoming big ones.
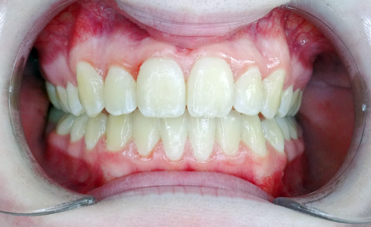
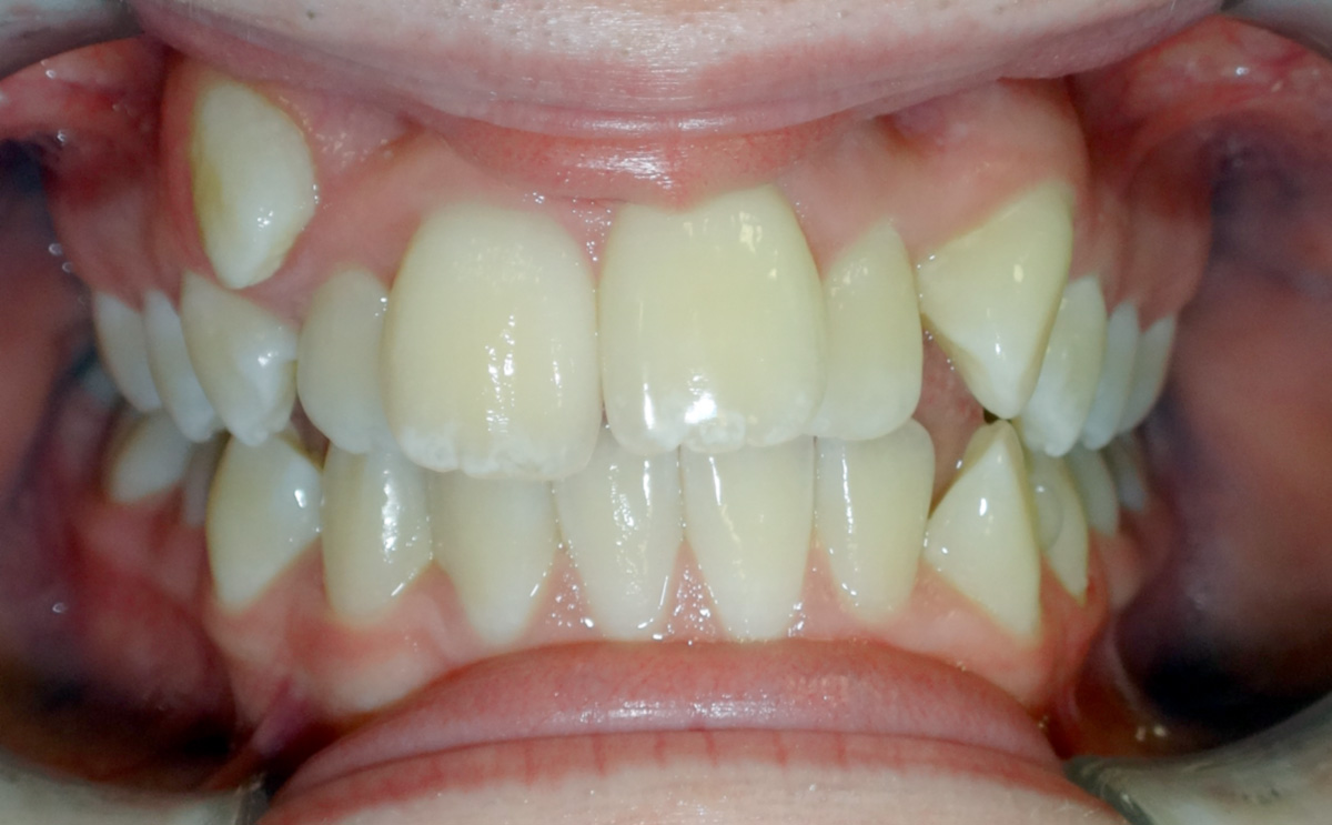
Orthodontic Treatments
Comprehensive orthodontic care in Drogheda – offering metal braces, clear or white braces, aligners, and early treatment for children. At HB Dental Care, we tailor solutions for kids, teens, and adults to achieve healthy, confident smiles.
Orthodontic Treatments for Kids & Teens
We provide gentle, effective orthodontic care for kids and teens, using braces or modern options to create confident smiles.
Metal Braces
Metal braces are a reliable and effective way to straighten teeth. Durable and precise, they help achieve lasting, confident smiles for patients of all ages.
Clear/White Braces
For a less noticeable orthodontic option, HB Dental Care offers clear and white braces that deliver strong, precise results while keeping your smile natural.
Aligners
Aligners at HB Dental offer a modern, convenient alternative to traditional braces, delivering excellent results with minimal visibility.
Posted onLiTrustindex verifies that the original source of the review is Google. Heraclio is very friendly and professional. And Debbie is so lovely. 5 stars for everything!!Posted onLeah ClintonTrustindex verifies that the original source of the review is Google. I would highly recommend Frederick Dental to anyone looking for top-quality dental care! I recently got my braces off, and I couldn’t be happier with the final results — my teeth look amazing, and the whole experience from start to finish has been nothing short of fantastic. Dr. Leo is truly exceptional at what he does. He’s not only incredibly skilled and precise but also has such a calm, kind, and reassuring manner that instantly puts you at ease — especially if you’re someone who feels nervous about going to the dentist. He always takes the time to explain everything clearly and makes sure you’re comfortable every step of the way. Debbie, the receptionist, deserves a special mention too! She’s always so welcoming, cheerful, and genuinely happy to help with anything you need. Every visit to the clinic feels friendly and stress-free thanks to her and the rest of the wonderful team. From the moment you walk through the door to the moment you leave, you can really tell that everyone at Frederick Dental cares about their patients and takes pride in their work. I’m so grateful for the amazing care and support I received throughout my braces journey — I can finally smile with confidence! Thank you so much to Dr. Leo, Debbie, and the entire Frederick Dental team for such a positive and professional experience. I couldn’t recommend them more highly!Posted onDavid SheeranTrustindex verifies that the original source of the review is Google. Excellent service, excellent communication with Debbie and an excellent outcome No hesitation to recommend.Posted onJasmin D’ArcyTrustindex verifies that the original source of the review is Google. Heraclio, Debbie & the team at Fredrick’s dental drogheda have been nothing short of amazing !! They are passionate about what they do and they genuinely cared about getting the best outcome for my smile, I couldn’t have asked for a better team to have with me on this journey of getting my perfect teeth. I am obsessed!!!! Thank you so much againPosted onAmy Mc FeelyTrustindex verifies that the original source of the review is Google. From the initial consultation Heraclio, Debbie and the team were so friendly, professional, and always made me feel comfortable, which I was very grateful for as getting braces in my 30's felt a bit daunting! The entire process was stress free and I'm really delighted with the results and my new smile. I would highly recommend the team if you are considering braces or any other treatment!Posted onKasia KostikTrustindex verifies that the original source of the review is Google. I had an outstanding experience at this orthodontist clinic. From the moment I walked in there with my Son, Max, I was impressed by the warm, welcoming atmosphere and the professionalism of the staff. The team is highly knowledgeable, attentive, and truly goes above and beyond to make patients feel comfortable and well cared for. Especially kids and teens. Their expertise is evident in the way they explain every step of the process clearly and provide personalized treatment recommendations. I always felt confident that my Son was in great hands. On top of that, their customer service is exceptional—friendly, efficient, and always willing to accommodate scheduling needs. I’m so grateful for the high-quality care I received here and would recommend this clinic to anyone looking for orthodontic treatment. They truly set the standard for excellence in both service and results. Thank you guys so much ♥️Posted onLiz DelahanTrustindex verifies that the original source of the review is Google. My son Tadhg had his braces fitted by Heraclio , I cannot speak highly enough about this practice, my sons teeth are exceptional, beyond all expectations! Every appointment we were seen bang on time with no waiting around ! Everything was explained clearly about my sons treatment , Heraclio is a perfectionist and Debbie was very accomading and replied promptly to all of my emails and calls. Highly recommend Heraclio Barbosa the best orthodontist and the nicest man you could ever meet . Liz Deleahan Tullyallen County LouthPosted onemalie mcdonaldTrustindex verifies that the original source of the review is Google. after years of fugly teeth, Herlico and his crew have transformed my smile. Couldn’t be more grateful, they’re lovey people to deal with aswell - made everything easier. Thanks so much! Highly recommend to anyone looking to improve their teeth.Posted onSarah MurphyTrustindex verifies that the original source of the review is Google. I am delighted to have gone to Fredrick’s dental clinic drogheda I never would have taught my teeth could be as straight as they are today I couldn't be more happy with my result thanks to the amazing team that made it possible and made me feel so comfortable and welcome each appointment big thanks to Debbie for all her lovely kindness and support and thanks to heraclio who made this all possible I will miss coming in each month and couldn’t recommend them enough big thanks to the team ☺️☺️💕💕Posted onLeanne RadfordTrustindex verifies that the original source of the review is Google. If I could give 10 stars I would 🙌 I couldn't recommend these enough all over a amazing experience very professional and gets the results you want dr heraclio from the first conversation to the very last day makes sure your very happy with your teeth and if he seen something not working he fixes it straight away im so very glad I finally but the bullet and got my teeth fixed at 33 I couldn't be more happier then how they turned out.. and big shout out to Debbie what a amazing women who talks to you threw all your options on payments and appointments and she just lifts your spirit as soon as you see her thanks so much ♥️
How We Work:
Start Your Care
Smile With HB Dental
Orthodontic care shouldn’t wait, and neither should you! We offer metal braces, clear braces, aligners and functional appliances for early intervention, all tailored to keep your smile healthy, comfortable and beautifully aligned
